Accessible Version
Justison and Gladnick Family Dentistry
Cosmetic and Family Dentistry in Wilmington, DE
 

New Year, New Smile

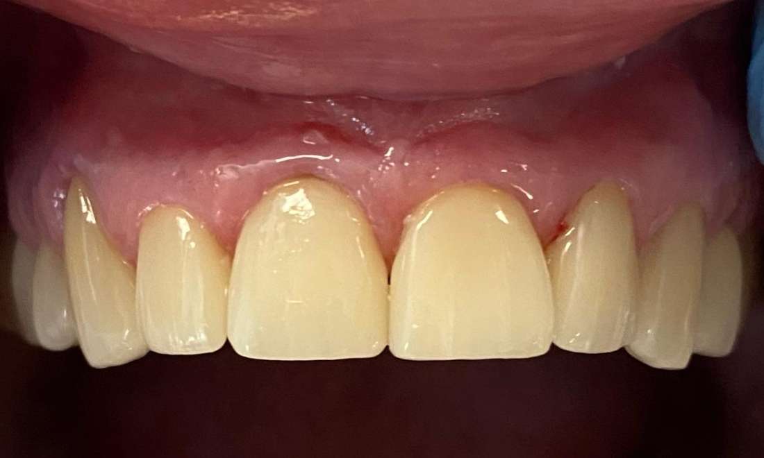
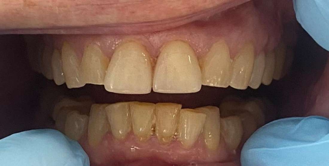
Our patient with previously placed veneers desired a revamped smile. Dr. Justison used digital smile design and 3D modeling to create a beautiful aesthetic result. Our patient is so happy to smile with her new veneers!

Related Services:

Veneers
Cosmetic Dentistry | Patient Testimonial | Dr. Mark Gladnick, DDS
Ready to book an appointment?
If you have difficulty using our website, please email us or call us at (302) 994-2660
View the ADA Accessibility Statement