Justison and Gladnick Family Dentistry's Finest Work!
Below are just a few examples of before & after cases involving dental veneers provided by Justison and Gladnick Family Dentistry in Wilmington DE.


Our dental patient from Pennsylvania lost many of her front teeth due to trauma as a child. Dr. Justison was able to restore this young woman's smile with an implant bridge in Wilmington, DE. She is so happy to smile again, thanks to Justison and Gladnick Family Dentistry.


Our patient with previously placed veneers desired a revamped smile. Dr. Justison used digital smile design and 3D modeling to create a beautiful aesthetic result. Our patient is so happy to smile with her new veneers!


Our patient came to us as a trauma victim. Due to the trauma, not only did the patient lose his top front teeth but he also lost a good amount of underlying bone, increasing the difficulty of his cosmetic dental case. Dr. Justison was able to use advanced prosthodontics techniques to marry an older generation implant placed 20 years ago with a new implant placed this year. Dr. Justison restored his missing teeth with an implant bridge and a single-unit crown.


Our patient from Newark, Delaware came to us to revamp his smile and correct his bite. We provided Invisalign treatment and finished his case with veneers and bonding. He is so happy to have the smile he always wanted!


Our patient was hesitant to smile as she disliked her stained and decayed teeth. We were able to transform her smile with ceramic veneers and now she is happy to show off her pearly whites!




This thirty-four year old male had a space between his front teeth that caught food and showed staining. Dr. Gladnick remedied this by adding tooth colored filling material that was perfectly matched to the patient's front teeth. The result is a smooth, natural feel and teeth that look perfect again. This procedure can be completed in 50 minutes.


Horizontal fracture of a young Pike Creek woman's side front tooth. She wished to regain her natural smile and cosmetic bonding achieved her wish in just one visit!


Our Hockessin patient was always embarrassed with her smile- the wide space between the fractured front teeth, coupled with the extra long side front teeth and chipped lower teeth devastated her appearance. By lengthening the front teeth, we can close spaces predictably; shortening the side teeth assures harmony within the new smile. Amazing what four all-porcelain crowns and some cosmetic bonding on the eye teeth can do!


Following Invisalign tooth movement to eliminate crowding, some esthetic bonding was done to restore her upper side front teeth and her eyeteeth (canines). Now, this young elated Pike Creek woman has a greatly improved smile worth flashing about (and best of all, the appointment lasted only about 2 hours)!


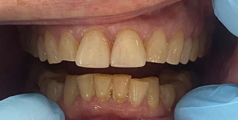
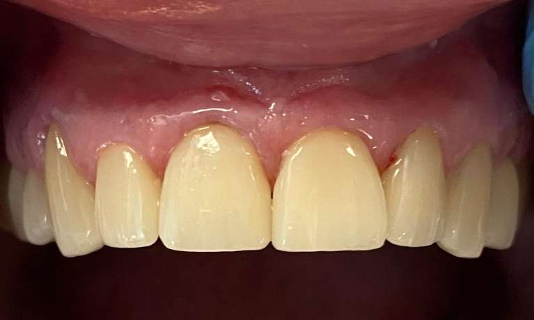
Decay, trauma and discolored fillings have decimated this Kennett Square, PA woman's smile. She was embarrassed to show her teeth and would often place her hand or cell phone (or anything she held) in front of her mouth. By combining veneers and porcelain crowns, she now can't wait to show off her rehabilitated smile from Justison and Gladnick Family Dentistry.


This dental patient arrived at our Wilmington, DE dental office with two metal/ceramic crowns and darkened front teeth which made their smile look much older. Replacing the deficient crowns, whitening the other teeth, and minor gum sculpting, these procedures helped turn back on the clock on their smile!


Advanced wear and severe crowding has marred this Newark, DE woman's smile. She wanted to correct the crowding (without braces)and "lighten" her smile. Using multiple therapies (Bonding, beautiful porcelain crowns of front upper teeth and enamel whitening of back teeth) this smile has been resurrected. Her upper teeth appear brighter(and more youthful). Now she loves to smile!


Congenitally missing side front teeth- replaced with all ceramic, tooth colored bridgework that minimizes tooth structure removal. Result- no metal shine through, strong teeth, and a gorgeous smile.


Food and drinks that stain will discolor teeth over time. Whitening teeth using custom trays or light assisted bleaching revitalizes your smile in just a few days!


Bear, DE area patient with badly decayed and broken down- front teeth, but desperately wanting to save and improve her smile economically. Just removing the cavities and rebuilding these front teeth with tooth-colored fillings has made an incredible improvement- you should see her smile now! And all treatment completed in only 2 hours.


When teeth don't emerge completely from under the gums, an adult's smile can look childish. By comfortably sculpting the excess gum tissue, your teeth look much more natural and your smile brilliant!


Traumatic fractures and severe wear of lower front teeth. Restored using several layers of translucent composite to match the rest of her teeth beautifully, and brighten the smile dramatically. And in only 90 minutes- Wow!