Accessible Version
Justison and Gladnick Family Dentistry
Cosmetic and Family Dentistry in Wilmington, DE
 

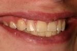
Injured front tooth

Horizontal fracture of a young Pike Creek woman's side front tooth. She wished to regain her natural smile and cosmetic bonding achieved her wish in just one visit!

Related Services:

Dental Bonding
Getting an appointment is fast and easy!
If you have difficulty using our website, please email us or call us at (302) 994-2660
View the ADA Accessibility Statement